Welcome to
Hawaii Heart Associates
OUR MISSION:
Challenge the traditional practice of medicine utilizing patient shared decision making and innovation to provide a comprehensive cardiovascular experience.
OUR VISION:
Inspire and empower people to pursue a life free of cardiovascular disease.
At Hawaii Heart Associates, our goal is to provide you with comprehensive, evidence-based management of cardiac health conditions.
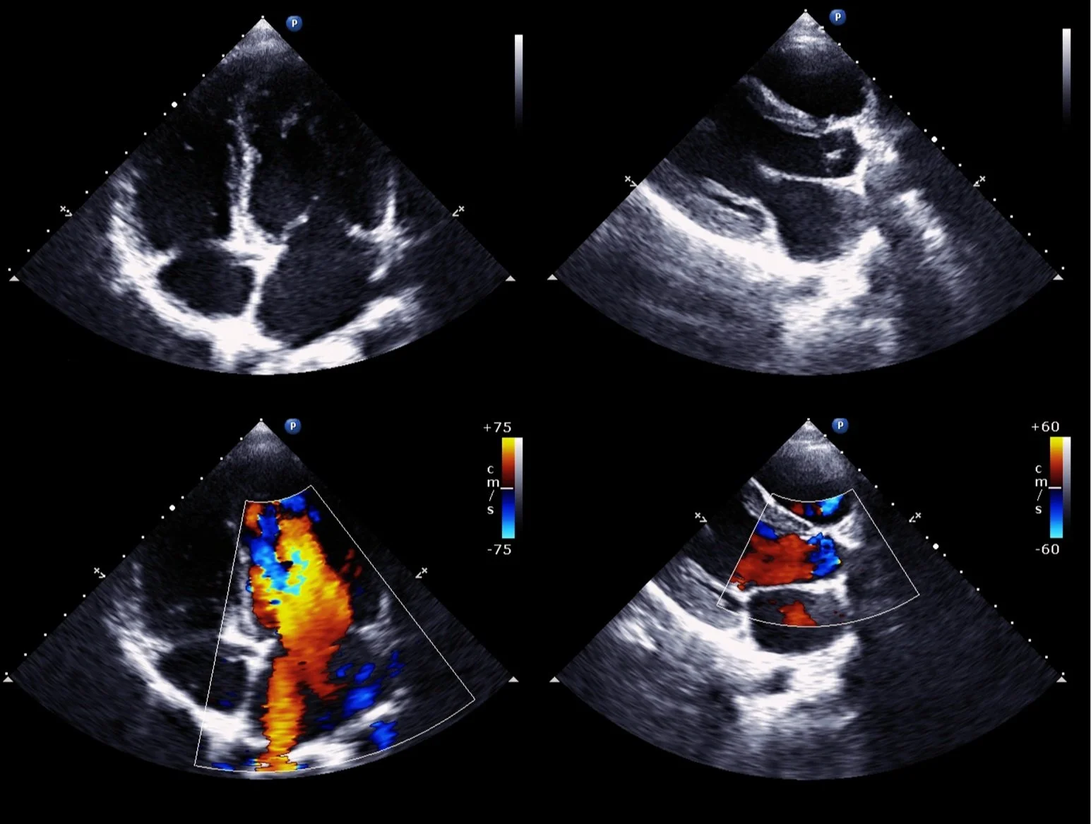
We utilize the latest diagnostic tools, including echocardiograms, stress tests, and vascular imaging, to ensure early detection and effective treatment of heart disease.
Our team is committed to working closely with you to develop a personalized care plan tailored to your unique risk factors and health goals.
We emphasize the importance of heart disease prevention, lifestyle modification, and regular heart screenings to reduce your risk of heart attack and stroke.
CARDIOLOGY Conditions managed
Cardiology clinic locations and providers
CARDIOLOGY CLINIC SERVICEs
CARDIOLOGY PROGRAMS
Hospital services
Cardiothoracic Surgery
AT
Maui Memorial Medical Center
Hawaii Heart Associates Providers
-

Ryan Smith, DO FACC
Chief Executive Officer
-

June Belvis, AGACNP-BC
Chief Operating Officer
-

Marc Hunt, MD FACC
Chief Medical Officer
-

Amanda Marn, MD FACC
Kihei and Wailuku, Maui
-

Jeremy Docekal, MD FACC
Hilo, Hawaii
-

Don Matsuura, MD
Hilo, Hawaii
-

Amy Hanapi, DNP, FNP
Hilo, Hawaii
-

Michael Firstenberg, MD FACC
CT Surgery, Maui
Cardiothoracic Director
-

Frank Slachman, MD FACS
CT Surgery, Maui
-

George Lam, PA-C
CT Surgery, Maui
-

Hank Barff, PA-C
CT Surgery, Maui
Patient Resources
self-Referral
Please be advised that, depending on your insurance plan, you may not require a referral from your primary care physician to schedule an appointment with our cardiology practice. However, to ensure we are fully prepared for your visit and can provide you with the best possible care, we kindly request that your primary care physician fax us a copy of your most recent office visit notes prior to your appointment.
General Inquiries
You may use this contact form for:
General questions about our clinic, services, or providers
Billing or insurance questions
Non-urgent follow-up communication
Frequently asked queSTIONS ABOUT hawaii heart associates
The information provided on the Hawaii Heart Associates website is intended for general informational and educational purposes only and is not a substitute for professional medical advice, diagnosis, or treatment.
While we strive to keep the information accurate and up-to-date, Hawaii Heart Associates makes no representations or warranties of any kind, express or implied, about the completeness, accuracy, reliability, suitability, or availability with respect to the website or the information, products, services, or related graphics contained on the website for any purpose.
Always seek the advice of your physician or other qualified health provider with any questions you may have regarding a medical condition. Never disregard professional medical advice or delay in seeking it because of something you have read on this website.
Reliance on any information provided by Hawaii Heart Associates, our employees, or others appearing on the website at the invitation of Hawaii Heart Associates is solely at your own risk. Hawaii Heart Associates expressly disclaims liability for any loss or damage incurred as a result of the use of the information on this site.
By using this website, you acknowledge and agree to this disclaimer and our terms of use.
To help make your first appointment go smoothly, new patients can now complete their registration and intake forms online before their visit.
Simply click the “Patient Registration” button above, fill out the required information, and submit it securely from any device. This allows our team to review your details in advance and reduces paperwork and wait time when you arrive at the clinic.
Completing registration online helps us:
Expedite check‑in on the day of your appointment
Ensure your medical history is up to date
Spend more time focused on your care, not paperwork
We recommend completing registration at least 48 hours before your scheduled visit.
Complete Your Registration Online
This page is not monitored 24/7 and is NOT for Medical Emergencies or URGENT health needs.
If you are experiencing a medical emergency, call 911 or go to the nearest emergency room.
For urgent matters related to your health, symptoms, or treatment, please call our office directly during regular business hours

